121 Buffalo Street, Hamburg, NY 14075















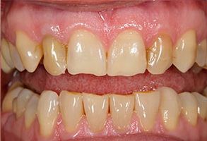
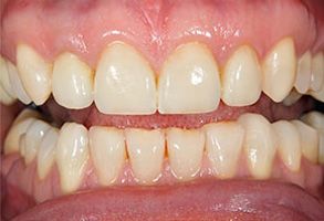
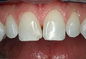
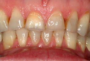
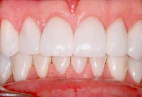
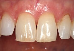
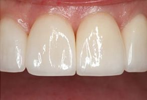
Our goal is to help every patient experience the benefits of good oral health and a beautiful smile. We value the trust you have placed in our office and strive to provide solutions that meet your dental needs and expectations of care.
